











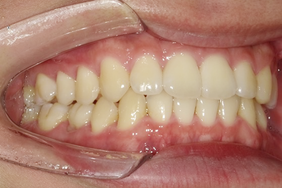
| 主訴 | 出っ歯を治して口元を引っ込めたい |
|---|---|
| 診断名 | 上顎前突 |
| 年齢 | 29歳 |
| 治療期間 | 2年 |
| 治療費 | 基本料金 ¥880,000 調整料 ¥5,500/月 |
| 治療内容 | 上下顎左右側第一小臼歯抜歯 マルチブラケット装置(表側) |
| 治療のリスク | 装置の見た目、歯ブラシが難しい、 疼痛、口内炎、歯肉退縮、歯根吸収 |










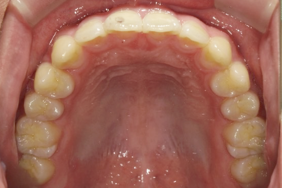
| 主訴 | 前歯が飛び出ているのを治したい |
|---|---|
| 診断名 | 上顎前突 |
| 年齢 | 25歳 |
| 治療期間 | 1年8ヶ月 |
| 治療費 | 基本料金 ¥880,000 調整料 ¥5,500/月 |
| 治療内容 | 非抜歯 マルチブラケット装置(表側) |
| 治療のリスク | 装置の見た目、歯ブラシが難しい、疼痛、口内炎、歯肉退縮、歯根吸収 |










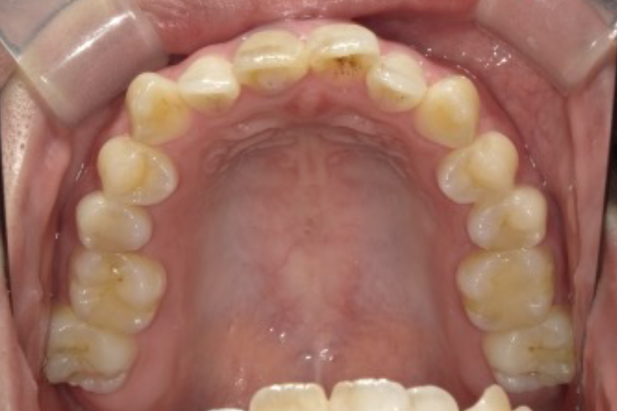
| 主訴 | 歯がでっぱっているのを治したい |
|---|---|
| 診断名 | 上顎前突 |
| 年齢 | 19歳 |
| 治療期間 | 1年2ヶ月 |
| 治療費 | 基本料金 ¥880,000 調整料 ¥5,500/月 |
| 治療内容 | 非抜歯 マルチブラケット装置(表側) |
| 治療のリスク | 装置の見た目、歯ブラシが難しい、 疼痛、口内炎、歯肉退縮、歯根吸収 |












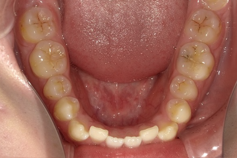
| 主訴 | 前歯のガタガタを治したい |
|---|---|
| 診断名 | 叢生 |
| 年齢 | 24歳 |
| 治療期間 | 2年半 |
| 治療費 | 基本料金 ¥880,000 調整料 ¥5,500/月 |
| 治療内容 | 上下顎左右側第一小臼歯抜歯 マルチブラケット装置(表側) |
| 治療のリスク | 装置の見た目、歯ブラシが難しい、 疼痛、口内炎、歯肉退縮、歯根吸収 |










| 主訴 | 歯の重なりを治したい |
|---|---|
| 診断名 | 叢生 |
| 年齢 | 26歳 |
| 治療期間 | 1年10ヶ月 |
| 治療費 | 基本料金 ¥880,000 調整料 ¥5,500/月 |
| 治療内容 | 上顎左側第一小臼歯抜歯 マルチブラケット装置(表側) |
| 治療のリスク | 装置の見た目、歯ブラシが難しい、 疼痛、口内炎、歯肉退縮、歯根吸収 |










| 主訴 | 前歯のガタガタを治したい |
|---|---|
| 診断名 | 叢生 |
| 年齢 | 21歳 |
| 治療期間 | 2年9ヶ月 |
| 治療費 | 基本料金 ¥880,000 調整料 ¥5,500/月 |
| 治療内容 | 上下顎左右側第一小臼歯抜歯 マルチブラケット装置(表側) |
| 治療のリスク | 装置の見た目、歯ブラシが難しい、 疼痛、口内炎、歯肉退縮、歯根吸収 |










| 主訴 | 前歯の歯並びを綺麗にしたい |
|---|---|
| 診断名 | 叢生 |
| 年齢 | 30歳 |
| 治療期間 | 2年9ヶ月 |
| 治療費 | 基本料金 ¥880,000 調整料 ¥5,500/月 |
| 治療内容 | 上下顎左右側第一小臼歯抜歯 マルチブラケット装置(表側) |
| 治療のリスク | 装置の見た目、歯ブラシが難しい、 疼痛、口内炎、歯肉退縮、歯根吸収 |










| 主訴 | 前歯の歯並びが気になる |
|---|---|
| 診断名 | 叢生 |
| 年齢 | 25歳 |
| 治療期間 | 9ヶ月 |
| 治療費 | 基本料金 ¥495,000 調整料 ¥5,500/月 |
| 治療内容 | 部分矯正 マウスピース型矯正装置 (インビザライン) |
| 治療のリスク | マウスピースの長時間使用が必要、 発音への影響、疼痛、 歯肉退縮、歯根吸収 |










| 主訴 | 歯の重なりを治したい |
|---|---|
| 診断名 | 叢生 |
| 年齢 | 48歳 |
| 治療期間 | 2年8ヶ月 |
| 治療費 | 基本料金 ¥880,000 調整料 ¥5,500/月 |
| 治療内容 | 上下顎左右側第一小臼歯抜歯 マルチブラケット装置(表側) |
| 治療のリスク | 装置の見た目、歯ブラシが難しい、 疼痛、口内炎、歯肉退縮、歯根吸収 |










| 主訴 | 前歯の歯並びが気になる |
|---|---|
| 診断名 | 叢生 |
| 年齢 | 30歳 |
| 治療期間 | 1年7ヶ月 |
| 治療費 | 基本料金 ¥990,000 調整料 ¥5,500/月 |
| 治療内容 | 非抜歯 マウスピース型矯正装置 (インビザライン) |
| 治療のリスク | マウスピースの長時間使用が必要、発音への影響、疼痛、歯肉退縮、 歯根吸収 |










| 主訴 | 前歯の歯並びが気になる |
|---|---|
| 診断名 | 叢生 |
| 年齢 | 21歳 |
| 治療期間 | 1年8ヶ月 |
| 治療費 | 基本料金 ¥880,000 調整料 ¥5,500/月 |
| 治療内容 | 非抜歯 マルチブラケット装置(表側) |
| 治療のリスク | 装置の見た目、歯ブラシが難しい、疼痛、口内炎、歯肉退縮、歯根吸収 |










| 主訴 | 前歯のガタガタを治したい |
|---|---|
| 診断名 | 叢生 |
| 年齢 | 22歳 |
| 治療期間 | 2年6ヶ月 |
| 治療費 | 基本料金 ¥990,000 調整料 ¥5,500/月 |
| 治療内容 | 非抜歯 マウスピース型矯正装置 (インビザライン) |
| 治療のリスク | マウスピースの長時間使用が必要、発音への影響、疼痛、歯肉退縮、 歯根吸収 |












| 主訴 | 歯の重なりを治したい |
|---|---|
| 診断名 | 叢生 |
| 年齢 | 23歳 |
| 治療期間 | 2年 |
| 治療費 | 基本料金 ¥880,000 調整料 ¥5,500/月 |
| 治療内容 | 上下顎左右側第一小臼歯抜歯 マルチブラケット装置(表側) |
| 治療のリスク | 装置の見た目、歯ブラシが難しい、疼痛、口内炎、歯肉退縮、歯根吸収 |












| 主訴 | 前歯のガタガタを治したい |
|---|---|
| 診断名 | 叢生 |
| 年齢 | 21歳 |
| 治療期間 | 3年 |
| 治療費 | 基本料金 ¥880,000 調整料 ¥5,500/月 |
| 治療内容 | 上下顎左右側第一小臼歯抜歯 マルチブラケット装置(表側) |
| 治療のリスク | 装置の見た目、歯ブラシが難しい、疼痛、口内炎、歯肉退縮、歯根吸収 |










| 主訴 | 前歯の歯並びを綺麗にしたい |
|---|---|
| 診断名 | 叢生 |
| 年齢 | 20歳 |
| 治療期間 | 2年9ヶ月 |
| 治療費 | 基本料金 ¥880,000 調整料 ¥5,500/月 |
| 治療内容 | 上下顎左右側第一小臼歯抜歯 マルチブラケット装置(表側) |
| 治療のリスク | 装置の見た目、歯ブラシが難しい、疼痛、口内炎、歯肉退縮、歯根吸収 |










| 主訴 | 前歯の歯並びを治したい |
|---|---|
| 診断名 | 叢生 |
| 年齢 | 23歳 |
| 治療期間 | 3年1ヶ月 |
| 治療費 | 基本料金 ¥880,000 調整料 ¥5,500/月 |
| 治療内容 | 上下顎左右側第一小臼歯抜歯 マルチブラケット装置(表側) |
| 治療のリスク | 装置の見た目、歯ブラシが難しい、疼痛、口内炎、歯肉退縮、歯根吸収 |












| 主訴 | 口元が出ているのが気になる |
|---|---|
| 診断名 | 口元の突出 |
| 年齢 | 24歳 |
| 治療期間 | 2年8ヶ月 |
| 治療費 | 基本料金 ¥880,000 調整料 ¥5,500/月 |
| 治療内容 | 上下顎左右側第一小臼歯抜歯 マルチブラケット装置(表側) |
| 治療のリスク | 装置の見た目、歯ブラシが難しい、 疼痛、口内炎、歯肉退縮、歯根吸収 |












| 主訴 | 口ゴボを治したい |
|---|---|
| 診断名 | 口元の突出 |
| 年齢 | 23歳 |
| 治療期間 | 3年 |
| 治療費 | 基本料金 ¥880,000 調整料 ¥5,500/月 |
| 治療内容 | 上下顎左右側第一小臼歯抜歯 マルチブラケット装置(表側) |
| 治療のリスク | 装置の見た目、歯ブラシが難しい、 疼痛、口内炎、歯肉退縮、歯根吸収 |












| 主訴 | 口元が前に出ているのを治したい |
|---|---|
| 診断名 | 口元の突出 |
| 年齢 | 29歳 |
| 治療期間 | 2年7ヶ月 |
| 治療費 | 基本料金 ¥880,000 調整料 ¥5,500/月 |
| 治療内容 | 上下顎左右側第一小臼歯抜歯 マルチブラケット装置(表側) |
| 治療のリスク | 装置の見た目、歯ブラシが難しい、 疼痛、口内炎、歯肉退縮、歯根吸収 |










| 主訴 | 口元が出ているのが気になる |
|---|---|
| 診断名 | 口元の突出 |
| 年齢 | 26歳 |
| 治療期間 | 2年9ヶ月 |
| 治療費 | 基本料金 ¥990,000 調整料 ¥5,500/月 |
| 治療内容 | 非抜歯 マウスピース型矯正装置 (インビザライン) |
| 治療のリスク | マウスピースの長時間使用が必要、発音への影響、疼痛、歯肉退縮、 歯根吸収 |










| 主訴 | 口元が前に出ているのを治したい |
|---|---|
| 診断名 | 口元の突出 |
| 年齢 | 24歳 |
| 治療期間 | 2年7ヶ月 |
| 治療費 | 基本料金 ¥880,000 調整料 ¥5,500/月 |
| 治療内容 | 上下顎左右側第一小臼歯抜歯 マルチブラケット装置(表側) |
| 治療のリスク | 装置の見た目、歯ブラシが難しい、疼痛、口内炎、歯肉退縮、歯根吸収 |










| 主訴 | 八重歯が気になる |
|---|---|
| 診断名 | 犬歯の位置異常 |
| 年齢 | 27歳 |
| 治療期間 | 2年1ヶ月 |
| 治療費 | 基本料金 ¥880,000 調整料 ¥5,500/月 |
| 治療内容 | 上下顎左右側第一小臼歯抜歯 マルチブラケット装置(表側) |
| 治療のリスク | 装置の見た目、歯ブラシが難しい、 疼痛、口内炎、歯肉退縮、歯根吸収 |










| 主訴 | 前歯の噛み合わせが 反対なのが気になる |
|---|---|
| 診断名 | 反対咬合 |
| 年齢 | 52歳 |
| 治療期間 | 1年5ヶ月 |
| 治療費 | 基本料金 ¥990,000 調整料 ¥5,500/月 |
| 治療内容 | 非抜歯 マウスピース型矯正装置 (インビザライン) |
| 治療のリスク | マウスピースの長時間使用が必要、 発音への影響、疼痛、歯肉退縮、 歯根吸収 |










| 主訴 | 下の歯が前に出ているのが気になる |
|---|---|
| 診断名 | 反対咬合 |
| 年齢 | 19歳 |
| 治療期間 | 2年8ヶ月 |
| 治療費 | 基本料金 ¥990,000 調整料 ¥5,500/月 |
| 治療内容 | 非抜歯 マウスピース型矯正装置 (インビザライン) |
| 治療のリスク | マウスピースの長時間使用が必要、 発音への影響、疼痛、歯肉退縮、 歯根吸収 |










| 主訴 | 前歯の歯並びが気になる |
|---|---|
| 診断名 | 反対咬合 |
| 年齢 | 24歳 |
| 治療期間 | 2年11ヶ月 |
| 治療費 | 基本料金 ¥880,000 調整料 ¥5,500/月 |
| 治療内容 | 上顎左側第二小臼歯抜歯
マルチブラケット装置(表側) |
| 治療のリスク | 装置の見た目、歯ブラシが難しい、疼痛、口内炎、歯肉退縮、 歯根吸収 |












| 主訴 | 前歯の隙間が気になる |
|---|---|
| 診断名 | 空隙歯列弓 |
| 年齢 | 24歳 |
| 治療期間 | 11ヶ月 |
| 治療費 | 基本料金 ¥990,000 調整料 ¥5,500/月 |
| 治療内容 | 非抜歯 マウスピース型矯正装置 (インビザライン) |
| 治療のリスク | マウスピースの長時間使用が必要、 発音への影響、疼痛、歯肉退縮、 歯根吸収 |










| 主訴 | 前歯の隙間と奥歯の噛み合わせが気になる |
|---|---|
| 診断名 | 空隙歯列弓・反対咬合 |
| 年齢 | 27歳 |
| 治療期間 | 1年2ヶ月 |
| 治療費 | 基本料金 ¥990,000 調整料 ¥5,500/月 |
| 治療内容 | 非抜歯 マウスピース型矯正装置 (インビザライン) |
| 治療のリスク | マウスピースの長時間使用が必要、 発音への影響、疼痛、歯肉退縮、 歯根吸収 |










| 主訴 | 前歯の隙間が気になる |
|---|---|
| 診断名 | 空隙歯列弓 |
| 年齢 | 27歳 |
| 治療期間 | 6ヶ月 |
| 治療費 | 基本料金 ¥220,000 調整料 ¥5,500/月 |
| 治療内容 | 上顎前歯部分矯正 マルチブラケット装置(表側) |
| 治療のリスク | 装置の見た目、歯ブラシが難しい、疼痛、口内炎、歯肉退縮、歯根吸収 |