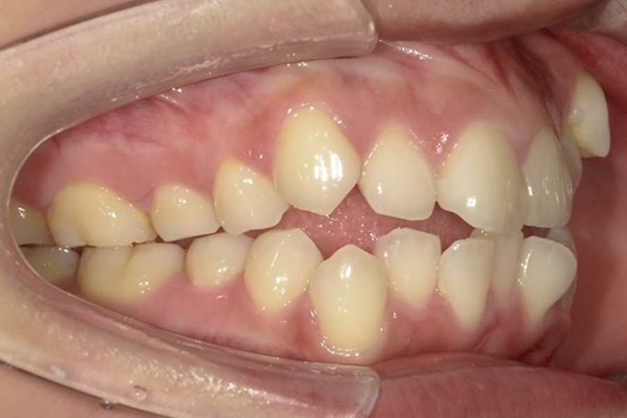
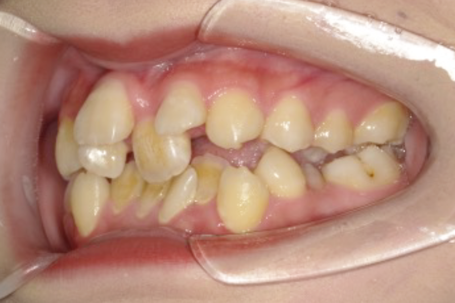
ワイヤー矯正
歯ひとつひとつに「ブラケット」という小さな器具を取り付けます。この器具はワイヤーを通して固定させるために装着するものです。ブラケットに通したワイヤーを少しずつ引っ張って歯列全体の形を整えていきます。
当院では透明・白い素材を使用しておりますので見た目の悪さはだいぶ改善され抵抗なく治療を受けていただけます。

| 治療期間 | 1年半〜3年程度 |
|---|---|
| 治療費 | ¥825,000~¥990,000(税込) |
| リスク | 矯正治療後、保定装置(リテーナー)を正しく使用しないと後戻りする可能性が高まります。 |
ワイヤー矯正装置
の症例
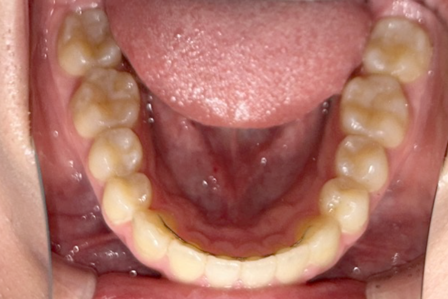
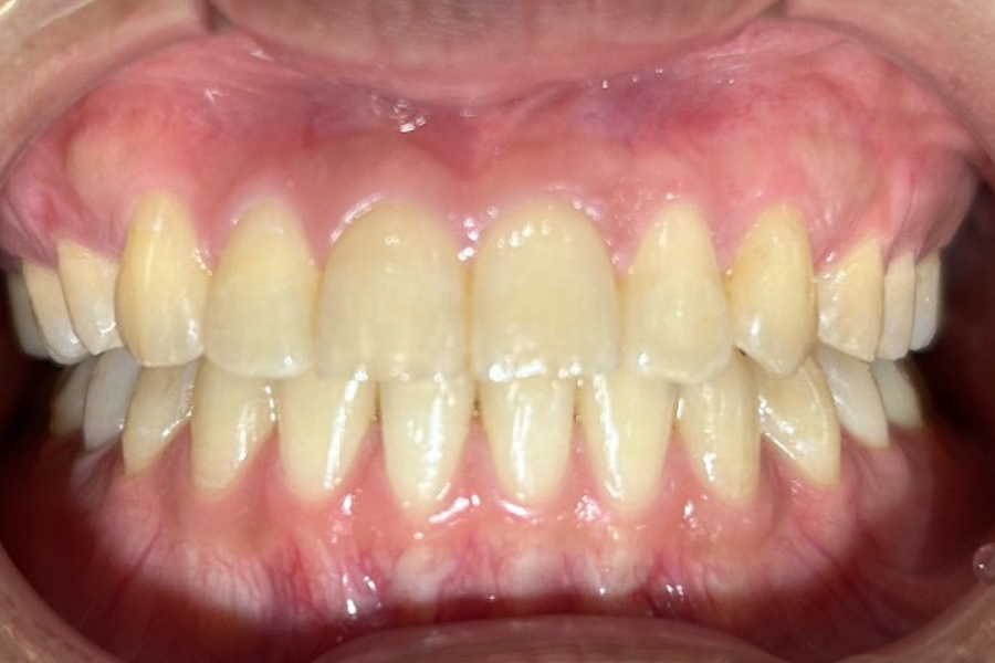
CASE1. 出っ歯を治して
口元を引っ込めたい
before

after











| 主訴 | 出っ歯を治して口元を引っ込めたい |
|---|---|
| 診断名 | 上顎前突 |
| 年齢 | 29歳 |
| 治療期間 | 2年 |
| 治療費 | 基本料金 ¥880,000 調整料 ¥5,500/月 |
| 治療内容 | 上下顎左右側第一小臼歯抜歯 マルチブラケット装置(表側) |
| 治療のリスク | 装置の見た目、歯ブラシが難しい、 疼痛、口内炎、歯肉退縮、歯根吸収 |
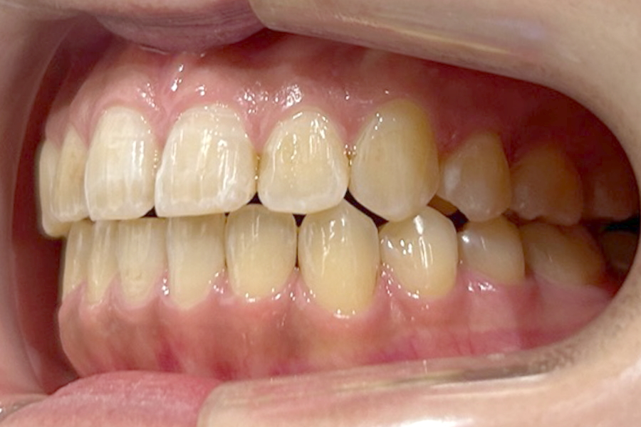
CASE2. 前歯が飛び出ているのを
治したい
before

after









| 主訴 | 前歯が飛び出ているのを治したい |
|---|---|
| 診断名 | 上顎前突 |
| 年齢 | 25歳 |
| 治療期間 | 1年8ヶ月 |
| 治療費 | 基本料金 ¥880,000 調整料 ¥5,500/月 |
| 治療内容 | 非抜歯 マルチブラケット装置(表側) |
| 治療のリスク | 装置の見た目、歯ブラシが難しい、疼痛、口内炎、歯肉退縮、歯根吸収 |
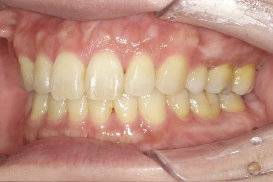
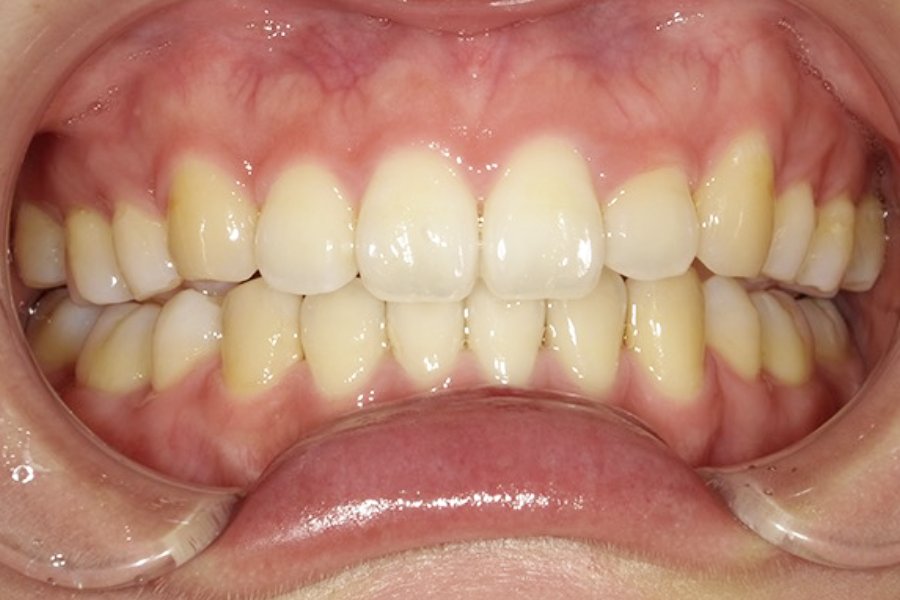
CASE3. 歯がでっぱっているのを治したい
治療前

治療後









| 主訴 | 歯がでっぱっているのを治したい |
|---|---|
| 診断名 | 上顎前突 |
| 年齢 | 19歳 |
| 治療期間 | 1年2ヶ月 |
| 治療費 | 基本料金 ¥880,000 調整料 ¥5,500/月 |
| 治療内容 | 非抜歯 マルチブラケット装置(表側) |
| 治療のリスク | 装置の見た目、歯ブラシが難しい、 疼痛、口内炎、歯肉退縮、歯根吸収 |
CASE4. 前歯のガタガタを治したい
治療前

治療後











| 主訴 | 前歯のガタガタを治したい |
|---|---|
| 診断名 | 叢生 |
| 年齢 | 24歳 |
| 治療期間 | 2年半 |
| 治療費 | 基本料金 ¥880,000 調整料 ¥5,500/月 |
| 治療内容 | 上下顎左右側第一小臼歯抜歯 マルチブラケット装置(表側) |
| 治療のリスク | 装置の見た目、歯ブラシが難しい、 疼痛、口内炎、歯肉退縮、歯根吸収 |
CASE5. 歯の重なりを治したい
治療前

治療後









| 主訴 | 歯の重なりを治したい |
|---|---|
| 診断名 | 叢生 |
| 年齢 | 26歳 |
| 治療期間 | 1年10ヶ月 |
| 治療費 | 基本料金 ¥880,000 調整料 ¥5,500/月 |
| 治療内容 | 上顎左側第一小臼歯抜歯 マルチブラケット装置(表側) |
| 治療のリスク | 装置の見た目、歯ブラシが難しい、 疼痛、口内炎、歯肉退縮、歯根吸収 |
CASE6. 前歯のガタガタを治したい
治療前

治療後









| 主訴 | 前歯のガタガタを治したい |
|---|---|
| 診断名 | 叢生 |
| 年齢 | 21歳 |
| 治療期間 | 2年9ヶ月 |
| 治療費 | 基本料金 ¥880,000 調整料 ¥5,500/月 |
| 治療内容 | 上下顎左右側第一小臼歯抜歯 マルチブラケット装置(表側) |
| 治療のリスク | 装置の見た目、歯ブラシが難しい、 疼痛、口内炎、歯肉退縮、歯根吸収 |
CASE7. 前歯の歯並びを
綺麗にしたい
治療前

治療後









| 主訴 | 前歯の歯並びを綺麗にしたい |
|---|---|
| 診断名 | 叢生 |
| 年齢 | 30歳 |
| 治療期間 | 2年9ヶ月 |
| 治療費 | 基本料金 ¥880,000 調整料 ¥5,500/月 |
| 治療内容 | 上下顎左右側第一小臼歯抜歯 マルチブラケット装置(表側) |
| 治療のリスク | 装置の見た目、歯ブラシが難しい、 疼痛、口内炎、歯肉退縮、歯根吸収 |
CASE8. 歯の重なりを治したい
治療前

治療後









| 主訴 | 歯の重なりを治したい |
|---|---|
| 診断名 | 叢生 |
| 年齢 | 48歳 |
| 治療期間 | 2年8ヶ月 |
| 治療費 | 基本料金 ¥880,000 調整料 ¥5,500/月 |
| 治療内容 | 上下顎左右側第一小臼歯抜歯 マルチブラケット装置(表側) |
| 治療のリスク | 装置の見た目、歯ブラシが難しい、 疼痛、口内炎、歯肉退縮、歯根吸収 |
CASE9. 口ゴボを治したい
治療前

治療後











| 主訴 | 口ゴボを治したい |
|---|---|
| 診断名 | 口元の突出 |
| 年齢 | 23歳 |
| 治療期間 | 3年 |
| 治療費 | 基本料金 ¥880,000 調整料 ¥5,500/月 |
| 治療内容 | 上下顎左右側第一小臼歯抜歯 マルチブラケット装置(表側) |
| 治療のリスク | 装置の見た目、歯ブラシが難しい、 疼痛、口内炎、歯肉退縮、歯根吸収 |
CASE10. 口元が前に出ているのを
治したい
治療前

治療後











| 主訴 | 口元が前に出ているのを治したい |
|---|---|
| 診断名 | 口元の突出 |
| 年齢 | 29歳 |
| 治療期間 | 2年7ヶ月 |
| 治療費 | 基本料金 ¥880,000 調整料 ¥5,500/月 |
| 治療内容 | 上下顎左右側第一小臼歯抜歯 マルチブラケット装置(表側) |
| 治療のリスク | 装置の見た目、歯ブラシが難しい、 疼痛、口内炎、歯肉退縮、歯根吸収 |
CASE11. 八重歯が気になる
治療前

治療後









| 主訴 | 八重歯が気になる |
|---|---|
| 診断名 | 犬歯の位置異常 |
| 年齢 | 27歳 |
| 治療期間 | 2年1ヶ月 |
| 治療費 | 基本料金 ¥880,000 調整料 ¥5,500/月 |
| 治療内容 | 上下顎左右側第一小臼歯抜歯 マルチブラケット装置(表側) |
| 治療のリスク | 装置の見た目、歯ブラシが難しい、 疼痛、口内炎、歯肉退縮、歯根吸収 |
CASE12. 口元が出ているのが
気になる
治療前

治療後











| 主訴 | 口元が出ているのが気になる |
|---|---|
| 診断名 | 口元の突出 |
| 年齢 | 24歳 |
| 治療期間 | 2年8ヶ月 |
| 治療費 | 基本料金 ¥880,000 調整料 ¥5,500/月 |
| 治療内容 | 上下顎左右側第一小臼歯抜歯 マルチブラケット装置(表側) |
| 治療のリスク | 装置の見た目、歯ブラシが難しい、 疼痛、口内炎、歯肉退縮、歯根吸収 |
CASE13. 前歯の歯並びが気になる
治療前

治療後









| 主訴 | 前歯の歯並びが気になる |
|---|---|
| 診断名 | 叢生 |
| 年齢 | 21歳 |
| 治療期間 | 1年8ヶ月 |
| 治療費 | 基本料金 ¥880,000 調整料 ¥5,500/月 |
| 治療内容 | 非抜歯 マルチブラケット装置(表側) |
| 治療のリスク | 装置の見た目、歯ブラシが難しい、疼痛、口内炎、歯肉退縮、歯根吸収 |
CASE14. 歯の重なりを治したい
治療前

治療後











| 主訴 | 歯の重なりを治したい |
|---|---|
| 診断名 | 叢生 |
| 年齢 | 23歳 |
| 治療期間 | 2年 |
| 治療費 | 基本料金 ¥880,000 調整料 ¥5,500/月 |
| 治療内容 | 上下顎左右側第一小臼歯抜歯 マルチブラケット装置(表側) |
| 治療のリスク | 装置の見た目、歯ブラシが難しい、疼痛、口内炎、歯肉退縮、歯根吸収 |
CASE15. 前歯のガタガタを
治したい
治療前

治療後











| 主訴 | 前歯のガタガタを治したい |
|---|---|
| 診断名 | 叢生 |
| 年齢 | 21歳 |
| 治療期間 | 3年 |
| 治療費 | 基本料金 ¥880,000 調整料 ¥5,500/月 |
| 治療内容 | 上下顎左右側第一小臼歯抜歯 マルチブラケット装置(表側) |
| 治療のリスク | 装置の見た目、歯ブラシが難しい、疼痛、口内炎、歯肉退縮、歯根吸収 |
CASE16. 前歯の歯並びを
綺麗にしたい
治療前

治療後









| 主訴 | 前歯の歯並びを綺麗にしたい |
|---|---|
| 診断名 | 叢生 |
| 年齢 | 20歳 |
| 治療期間 | 2年9ヶ月 |
| 治療費 | 基本料金 ¥880,000 調整料 ¥5,500/月 |
| 治療内容 | 上下顎左右側第一小臼歯抜歯 マルチブラケット装置(表側) |
| 治療のリスク | 装置の見た目、歯ブラシが難しい、疼痛、口内炎、歯肉退縮、歯根吸収 |
CASE17. 前歯の歯並びを
治したい
治療前

治療後









| 主訴 | 前歯の歯並びを治したい |
|---|---|
| 診断名 | 叢生 |
| 年齢 | 23歳 |
| 治療期間 | 3年1ヶ月 |
| 治療費 | 基本料金 ¥880,000 調整料 ¥5,500/月 |
| 治療内容 | 上下顎左右側第一小臼歯抜歯 マルチブラケット装置(表側) |
| 治療のリスク | 装置の見た目、歯ブラシが難しい、疼痛、口内炎、歯肉退縮、歯根吸収 |
CASE18. 前歯の歯並びが気になる
治療前

治療後









| 主訴 | 前歯の歯並びが気になる |
|---|---|
| 診断名 | 叢生 |
| 年齢 | 24歳 |
| 治療期間 | 2年11ヶ月 |
| 治療費 | 基本料金 ¥880,000 調整料 ¥5,500/月 |
| 治療内容 | 上顎左側第二小臼歯抜歯
マルチブラケット装置(表側) |
| 治療のリスク | 装置の見た目、歯ブラシが難しい、疼痛、口内炎、歯肉退縮、 歯根吸収 |
CASE19. 前歯の隙間が気になる
治療前

治療後









| 主訴 | 前歯の隙間が気になる |
|---|---|
| 診断名 | 空隙歯列弓 |
| 年齢 | 27歳 |
| 治療期間 | 6ヶ月 |
| 治療費 | 基本料金 ¥220,000 調整料 ¥5,500/月 |
| 治療内容 | 上顎前歯部分矯正 マルチブラケット装置(表側) |
| 治療のリスク | 装置の見た目、歯ブラシが難しい、疼痛、口内炎、歯肉退縮、歯根吸収 |
CASE20. 口元が前に出ているのを
治したい
治療前

治療後









| 主訴 | 口元が前に出ているのを治したい |
|---|---|
| 診断名 | 上顎前突 |
| 年齢 | 24歳 |
| 治療期間 | 2年7ヶ月 |
| 治療費 | 基本料金 ¥880,000 調整料 ¥5,500/月 |
| 治療内容 | 上下顎左右側第一小臼歯抜歯 マルチブラケット装置(表側) |
| 治療のリスク | 装置の見た目、歯ブラシが難しい、疼痛、口内炎、歯肉退縮、歯根吸収 |